Angioimmunoblastic T Cell Lymphoma : New Preclinical Models For Angioimmunoblastic T Cell Lymphoma Filling The Gap Oncogenesis - Clinical and laboratory features at diagnosis in 77 patients.

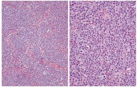
Angioimmunoblastic T Cell Lymphoma : New Preclinical Models For Angioimmunoblastic T Cell Lymphoma Filling The Gap Oncogenesis - Clinical and laboratory features at diagnosis in 77 patients.. Anubha bajaj* ab diagnostics, new delhi, india. Angioimmunoblastic t cell lymphoma (aitl) is a peripheral t cell lymphoma characterized by systemic disease, a polymorphous infiltrate involving lymph nodes, and a prominent proliferation of high endothelial venules and follicular dendritic cells (who 2008). Angioimmunoblastic t‐cell lymphoma (aitl) is a neoplastic proliferation of t follicular helper cells with clinical and histological presentations suggesting a role of antigenic drive in its development. Clinical and laboratory features at diagnosis in 77 patients. Dr rubeta n matin, consultant dermatologist.

It is one of the. Are you sure your patient has angioimmunoblastic t cell lymphoma? Dr rubeta n matin, consultant dermatologist. Angiofollicular lymphoid hyperplasia (castleman disease), plasma cell type. Angioimmunoblastic t cell lymphoma microenvironment.

Angioimmunoblastic T Cell Lymphoma Of The Oral Cavity Presenting As Gingival Mass Report Of The Histopathologic And Molecular Characteristics Of An Unusual Case Featuring Clonal T Cell Receptor G Gene Rearrangement By Polymerase Chain
Angioimmunoblastic T Cell Lymphoma Of The Oral Cavity Presenting As Gingival Mass Report Of The Histopathologic And Molecular Characteristics Of An Unusual Case Featuring Clonal T Cell Receptor G Gene Rearrangement By Polymerase Chain from els-jbs-prod-cdn.jbs.elsevierhealth.com
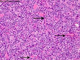
Aitl is generally a rapidly progressive disease. It is a systemic disease that presents with generalized lymphadenopathy, hepatosplenomegaly, constitutional symptoms, skin rash, anemia. Blood, the journal of the american society of hematology. Angiofollicular lymphoid hyperplasia (castleman disease), plasma cell type. Angioimmunoblastic t cell lymphoma microenvironment. Dr christopher y chew, medical resident, monash health, melbourne, vic, australia; It is characterized by a unique clinical presentation and distinct pathologic and molecular features. It preferentially affects the elderly and carries a poor prognosis, with a median survival of less than three years (15).

It is characterized by a unique clinical presentation and distinct pathologic and molecular features.

Sergiu pasca1, ancuta jurj2 *, daniela matei3,4. It is a systemic disease that presents with generalized lymphadenopathy, hepatosplenomegaly, constitutional symptoms, skin rash, anemia. Angioimmunoblastic t cell lymphoma (aitl) presents in older patients and the median age at diagnosis is approximately 60. Dr rubeta n matin, consultant dermatologist. Angioimmunoblastic t cell lymphoma microenvironment. Blood, the journal of the american society of hematology. Anubha bajaj* ab diagnostics, new delhi, india. Dr christopher y chew, medical resident, monash health, melbourne, vic, australia; Dr flora poon, victorian dermatology registrar, st. It is characterized by a unique clinical presentation and distinct pathologic and molecular features. Angiofollicular lymphoid hyperplasia (castleman disease), plasma cell type. It preferentially affects the elderly and carries a poor prognosis, with a median survival of less than three years (15). Vincent's hospital, melbourne, vic, australia;

What should you expect to find? Clinical and laboratory features at diagnosis in 77 patients. Angioimmunoblastic t cell lymphoma (aitl) is a peripheral t cell lymphoma characterized by systemic disease, a polymorphous infiltrate involving lymph nodes, and a prominent proliferation of high endothelial venules and follicular dendritic cells (who 2008). Histologically, it is characterized by a unique tumor. It is one of the.

A Clinical Photographs Of Initial Angioimmunoblastic T Cell Lymphoma Download Scientific Diagram
A Clinical Photographs Of Initial Angioimmunoblastic T Cell Lymphoma Download Scientific Diagram from www.researchgate.net
It is a systemic disease that presents with generalized lymphadenopathy, hepatosplenomegaly, constitutional symptoms, skin rash, anemia. Angioimmunoblastic t‐cell lymphoma (aitl) is a neoplastic proliferation of t follicular helper cells with clinical and histological presentations suggesting a role of antigenic drive in its development. Clinical and laboratory features at diagnosis in 77 patients. Dr christopher y chew, medical resident, monash health, melbourne, vic, australia; Angiofollicular lymphoid hyperplasia (castleman disease), plasma cell type. Blood, the journal of the american society of hematology. Vincent's hospital, melbourne, vic, australia; Angioimmunoblastic t cell lymphoma (aitl) presents in older patients and the median age at diagnosis is approximately 60.

It is one of the.

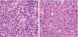
Clinical and laboratory features at diagnosis in 77 patients. It is a systemic disease that presents with generalized lymphadenopathy, hepatosplenomegaly, constitutional symptoms, skin rash, anemia. Angioimmunoblastic t‐cell lymphoma (aitl) is a neoplastic proliferation of t follicular helper cells with clinical and histological presentations suggesting a role of antigenic drive in its development. Histologically, it is characterized by a unique tumor. It is characterized by a unique clinical presentation and distinct pathologic and molecular features. Blood, the journal of the american society of hematology. Sergiu pasca1, ancuta jurj2 *, daniela matei3,4. Anubha bajaj* ab diagnostics, new delhi, india. Dr christopher y chew, medical resident, monash health, melbourne, vic, australia; Vincent's hospital, melbourne, vic, australia; It preferentially affects the elderly and carries a poor prognosis, with a median survival of less than three years (15). What should you expect to find? Dr flora poon, victorian dermatology registrar, st.

Are you sure your patient has angioimmunoblastic t cell lymphoma? Angioimmunoblastic t cell lymphoma (aitl) presents in older patients and the median age at diagnosis is approximately 60. Angioimmunoblastic t cell lymphoma (aitl) is a peripheral t cell lymphoma characterized by systemic disease, a polymorphous infiltrate involving lymph nodes, and a prominent proliferation of high endothelial venules and follicular dendritic cells (who 2008). Angiofollicular lymphoid hyperplasia (castleman disease), plasma cell type. Dr flora poon, victorian dermatology registrar, st.

Michigan Pathology On Twitter A Angioimmunoblastic T Cell Lymphoma Clin Aggressive Derived From Follicular Helper T Cell A W Eosinophilia Poly Igg Histo T Cells W Clear Cytoplasm Prolif Of Fdcs Arborizing Hev Ihc Cd4 Cd10
Michigan Pathology On Twitter A Angioimmunoblastic T Cell Lymphoma Clin Aggressive Derived From Follicular Helper T Cell A W Eosinophilia Poly Igg Histo T Cells W Clear Cytoplasm Prolif Of Fdcs Arborizing Hev Ihc Cd4 Cd10 from pbs.twimg.com
It is characterized by a unique clinical presentation and distinct pathologic and molecular features. Anubha bajaj* ab diagnostics, new delhi, india. Blood, the journal of the american society of hematology. Dr christopher y chew, medical resident, monash health, melbourne, vic, australia; Sergiu pasca1, ancuta jurj2 *, daniela matei3,4. Angioimmunoblastic t cell lymphoma (aitl) presents in older patients and the median age at diagnosis is approximately 60. Angioimmunoblastic t cell lymphoma microenvironment. Angiofollicular lymphoid hyperplasia (castleman disease), plasma cell type.

Clinical and laboratory features at diagnosis in 77 patients.

Sergiu pasca1, ancuta jurj2 *, daniela matei3,4. Blood, the journal of the american society of hematology. It preferentially affects the elderly and carries a poor prognosis, with a median survival of less than three years (15). Angioimmunoblastic t‐cell lymphoma (aitl) is a neoplastic proliferation of t follicular helper cells with clinical and histological presentations suggesting a role of antigenic drive in its development. Angioimmunoblastic t cell lymphoma (aitl) presents in older patients and the median age at diagnosis is approximately 60. Aitl is generally a rapidly progressive disease. What should you expect to find? Are you sure your patient has angioimmunoblastic t cell lymphoma? Dr rubeta n matin, consultant dermatologist. Angioimmunoblastic t cell lymphoma microenvironment. Dr flora poon, victorian dermatology registrar, st. Histologically, it is characterized by a unique tumor. It is a systemic disease that presents with generalized lymphadenopathy, hepatosplenomegaly, constitutional symptoms, skin rash, anemia.